Τερηδόνα είναι μία "νόσος" επάνω στα δόντια, η οποία δημιουργείται από κατάλοιπα
οξέων που παράγονται από βακτήρια του στόματός μας, προκαλώντας ζημιά στους ιστούς των δοντιών: στο σμάλτο, οδοντίνη και οστεΐνη.

Αν δεν επιδιορθωθεί (με κάποιο σφράγισμα), είναι ικανή η τερηδόνα να ανοίξει τρύπα στο
δόντι και να φτάσει σε σημείο να το καταστρέψει.
Ας δούμε όμως αρχικά την ανατομία ενός δοντιού, για να μπορέσουμε έπειτα να εμβαθύνουμε και να καταλάβετε την έννοια της τερηδόνας και γιατί κάνουμε σφραγίσματα.
Αρχικά να αναφέρουμε πως το δόντι, μέσα στα ούλα, έχει μία μεγάλη ρίζα που το συγκρατεί σταθερό.
Σμάλτο
Το
σμάλτο είναι η ουσία - το "υλικό", που καλύπτει όλο το δόντι γύρω γύρω και είναι ουσιαστικά το ορατό μέρος του δοντιού.
Είναι ο πιο σκληρός ιστός που υπάρχει επάνω στο ανθρώπινο σώμα.
Το σμάλτο είναι πολύ πλούσιο σε ασβεστίο.
Οδοντίνη
Μόνο το ορατό μέρος του δοντιού είναι στερεό και περιέχει σμάλτο. Μέσα όμως από το σμάλτο καθώς και σε ένα μεγάλο μέρος τις ρίζας, υπάρχει μία ουσία η οποία λέγεται
οδοντίνη.
Αυτή, δεν είναι ιδιαίτερα σκληρή όπως το σμάλτο.
Μέσα από την οδοντίνη, υπάρχουν τα νεύρα.
Οστεΐνη
Η
οστεΐνη είναι μία πολύ λεπτή στρώση, η οποία αγκαλιάζει τη ρίζα των δοντιών. Είναι υπεύθυνη για να συγκρατεί ας το πούμε έτσι απλά, το όλο σύστημα (δόντι-ρίζα) στη θέση του.
Πως δημιουργείται η τερηδόνα;
Η τερηδόνα δημιουργείται μέσω μιας διαδικασίας που ονομάζεται αφαλάτωση.
Η
αφαλάτωση δοντιού, είναι μία διαδικασία κατά την οποία αφαιρούνται σταδιακά διάφορες ουσίες ζωτικής σημασίας από το δόντι(σμάλτο, οδοντίνη, οστεΐνη), όπως το ασβέστιο.
Πως όμως γίνεται αυτό;Αυτό γίνεται με τη συνεχόμενη και παρατεταμένη έκθεση των δοντιών σε κάποια οξέα.
Τα οξέα αυτά, παράγονται από κάποια συγκεκριμένα
βακτήρια τα οποία ζούνε στο στόμα μας και συγκεκριμένα επάνω στα δόντια μας.
Αυτά τα βακτήρια, ζούνε κανονικά όπως ζούμε κι εμείς! Όταν τρεφόμαστε με φαγητό, τρέφονται κι αυτά, έπειτα αποβάλλουμε τα κατάλοιπα από τον οργανισμό μας, ακριβώς το ίδιο κάνουν κι αυτά.
Τα βακτήρια που προκαλούν τερηδόνα, τρέφονται ας το πούμε έτσι απλά, με
σάκχαρα (γλυκόζη, σουκρόζη, φρουκτόζη, τη λακτόζη, ή βρασμένα άμυλα). Έτσι, κατά τη χώνεψή τους, αφήνουνε κατάλοιπα.
Τα κατάλοιπα αυτά, είναι ένα οξύ το οποίο, όσο μένει επάνω στο δόντι, δημιουργεί συνεχόμενα αφαλάτωση. Ή πιο απλά, αρχίζει να το "τρώει" λίγο λίγο και σιγά σιγά.
Γι’ αυτό λοιπόν με τα γλυκά χαλάνε πολύ γρήγορα τα δόντια μας.
Γιατί περιέχουν τεράστια ποσότητα σε διαφόρων τύπων σάκχαρα, τρέφουν με μεγάλες ποσότητες τα βακτήρια που είναι υπεύθυνα για την τερηδόνα και παράγεται από αυτά τα βακτήρια μεγάλη ποσότητα οξέως από τα κατάλοιπά τους!
Να ξέρετε πως και το απλό φαγητό(που δεν είναι γλυκό) περιέχει σε πολύ μικρότερες ποσότητες σάκχαρα, που κάνουν το ίδιο πράγμα, αλλά σε πολύ μικρότερο βαθμό.
Μέσα
σε λίγα λεπτά μετά το φαγητό, ξεκινάει η ζημιά από το οξύ.
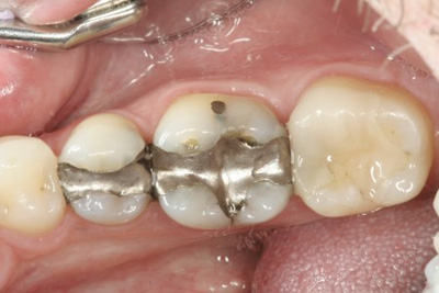
Γιατί κάνουμε σφραγίσματα στα δόντια;

Η ζημιά που προκαλεί η τερηδόνα, είναι μόνιμη. "Σκάβει" το δόντι και το κομμάτι που λείπει, δεν αναπληρώνεται.
Αν το αφήσουμε έτσι, συνεχίζει να "σκάβεται" το δόντι ακόμα πιο βαθιά, με αποτέλεσμα με τα χρόνια, να φτάσει τόσο βαθιά που θα αχρηστέψει το δόντι και παράλληλα θα επεκταθεί και σε γύρω περιοχές του δοντιού: "τρώγοντας" στην ουσία όλο το δόντι!
Έτσι, για να αποτρέψουμε αυτό, κάνουμε
σφραγίσματα.
Με το σφράγισμα, αναπληρώνουμε το χαμένο μέρος του δοντιού.
Ξαναγεμίζουμε το σημείο που μας έφαγε η τερηδόνα, αφού διώξουμε τα βακτήρια και τα οξέα από την περιοχή που πρόκειται να επικαλύψουμε, και έτσι αποτρέπουμε το περαιτέρω "φάγωμα" μέχρι τα βάθη του δοντιού!

Για να αποφύγουμε αυτή την επίπονη διαδικασία των σφραγισμάτων, το καλύτερο πράγμα είναι η πρόληψη.
Θα πρέπει να πλένουμε συχνά τα δόντια μας ώστε να μην αφήσουμε να δημιουργηθεί αυτό το φαινόμενο της τερηδόνας.
Πολύ σημαντικό ρόλο παίζει και ο ίδιος μας ο οργανισμός: άλλοι έχουν πιο γερά δόντια με αποτέλεσμα να "αργεί" να δημιουργηθεί τερηδόνα και άλλοι λιγότερο γερά με αντίθετο αποτέλεσμα.
Διαβάστε στη συνέχεια
Κάνει να βουρτσίζω τα δόντια μετά το φαγητό;